The most important factor in full-mouth implant restoration is extensive clinical experience.

Seoul The Nature Dental Clinic's
Full-Mouth Implants Are Different.

Unlike single or dual implant cases, full-mouth implant restoration is a high-complexity surgical procedure that rehabilitates the entire oral cavity. It is a treatment that demands extensive clinical experience and specialized implant expertise.

Full-Mouth Implant

With full-mouth implants, who performs it and how much experience they have determines the outcome.

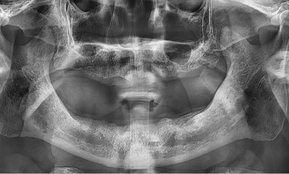
Seoul The Nature Dental Clinic's full-mouth implant program is equipped with advanced diagnostic and surgical equipment on par with university hospitals, and all procedures are personally performed by Director Dr. Kim Min-su, with over 20,000 implant placement cases.

Do I need an implant for every missing tooth?

Not necessarily! Implants only need to be placed
where truly required.

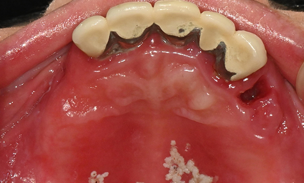
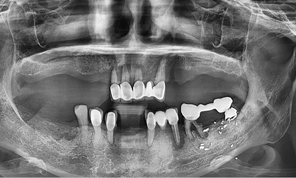
In full-mouth implant cases, implants are placed only where needed, and the remaining gaps are restored using a bridge (pontic) method — minimizing the total number of implants while achieving masticatory force comparable to natural teeth, helping to reduce the financial burden.

Bridge-type implant

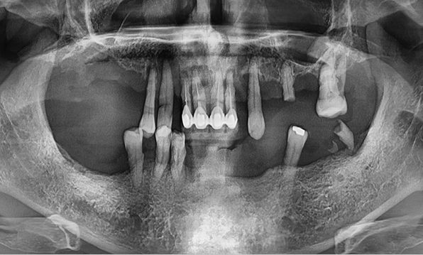
Full-mouth implant restoration is categorized into full placement or minimal placement approaches.

In full-mouth implant cases, implants are placed only where needed, and the remaining gaps are restored using a bridge (pontic) method — minimizing the total number of implants while achieving masticatory force comparable to natural teeth, helping to reduce the financial burden.

  • 01
    Full Placement
    Full Placement

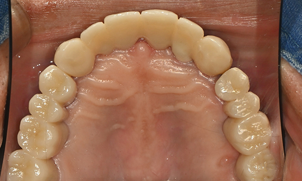
    Using a method of placing 8–9 implants in the maxilla and 8 implants in the mandible, this approach fully restores all 28 natural teeth, creating an oral environment most closely resembling
    natural dentition.

  • 02
    Minimal Placement
    Minimal Placement

    Using a method of placing 6–7 implants in the maxilla and 6 in the mandible, this approach restores both posterior and anterior teeth, efficiently rehabilitating the entire oral cavity.

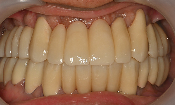
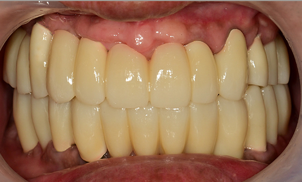
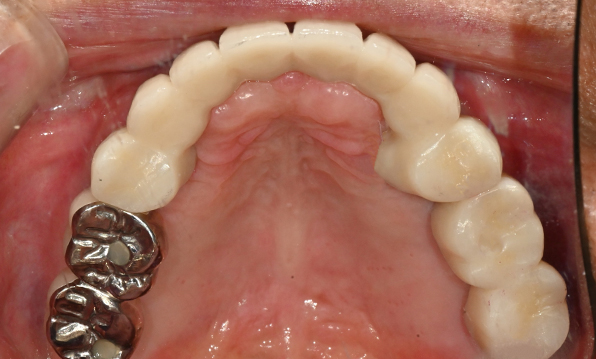
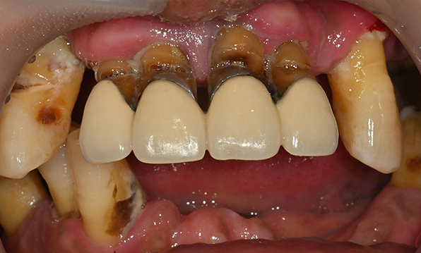
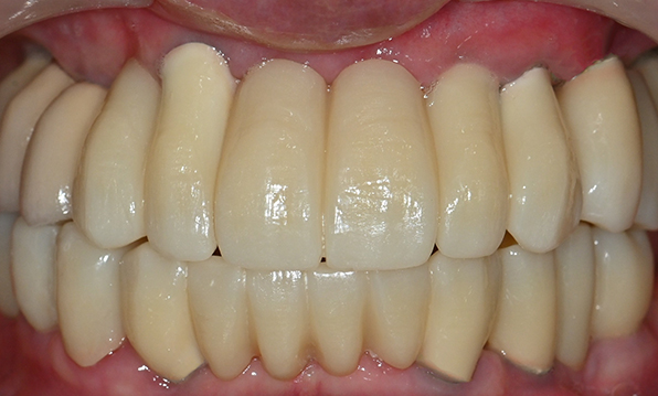
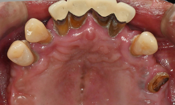
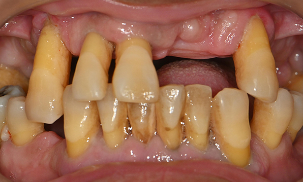
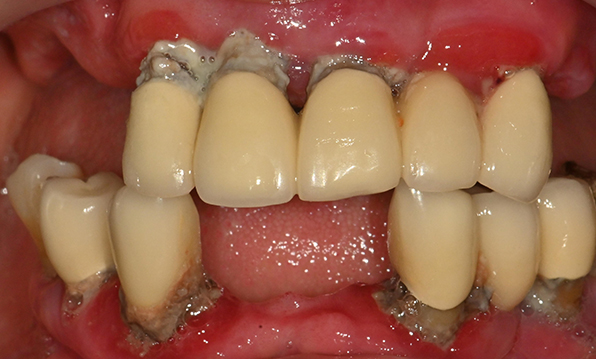
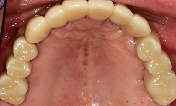
Before & After

Case 01
Before After
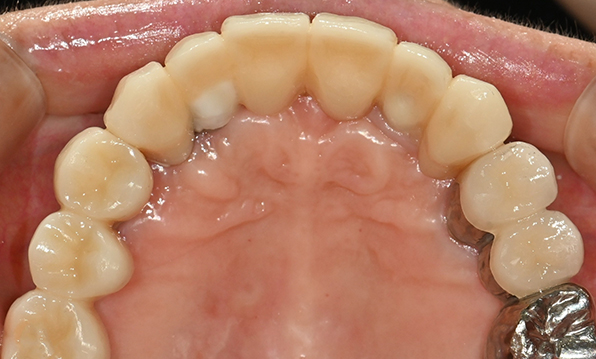
Case 02
Before After
Case 03
Before After
Case 04
Before After

Consultation

Quick Consultation