서울더자연치과 공식 홈페이지
Doctors
분야별 각 분야 5인 원장 협진으로
고난이도 임플란트부터
교정까지 한 곳에서 받아보세요
서울더자연치과는 각 분야 5인 원장 협진으로
여러 치료의 병행은 물론 고난이도 진료도 완성도 높게 치료합니다
Philosophy
서울더자연치과는
‘아프지 않고 편안한 진료’를
원칙으로 합니다
서울더자연치과는 환자분들께서
통증 걱정 없이 편안하게 치과진료를 받아보실 수 있도록
수면치료와 통증을 최소화하는 마취를 진행하고 있습니다
Implant
수술 후 바로 일상생활이 가능한
더자연치과의 절개없는 임플란트
절개없는 임플란트는 수술 시 출혈과 통증이 적어 수술 후
바로 일상생활이 가능한 편안한 임플란트 수술 방법입니다
더자연치과 임플란트 환자 중 95% 이상은
이미 편안한 임플란트 수술을 경험했습니다
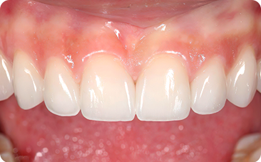
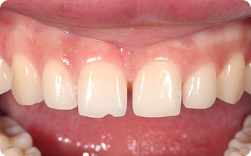
Laminate
‘더자연’스러운
치아 삭제가 없는 라미네이트
더자연치과는 손상되었거나 부족한 자연치아를
복구시키는 방향의 치료를 추구합니다
부작용이 적고 더자연스러운 결과만 남기는
더자연치과의 치아 삭제가 없는 라미네이트, 변화를 직접 확인하세요
서울더자연치과의
아프지 않고 편안한 진료
이미 많은 분들이 경험하셨습니다
더자연치과의 솔직한 치료후기를 확인해보세요
Service
서울 더자연 치과의
맞춤형 진료과목
치과 진료는 치아 치료를 넘어 구강 건강 관리, 기능 회목, 심미적 개선까지 아우르는 전문 의료 분야입니다.
환자의 상태에 맞춘 맞춤 치료로 최적의 구강 건강을 유지하도록 돕습니다.
Contact Us
- 오시는 길
-
서울시 강동구 명일동 312-86 , 2-3층
5호선 명일역 1번 출구 바로 앞
- 주차안내
-
자차 방문 시 명일역 공영 주차장을 이용해주세요
서울 강동구 구천면로 395