SEOUL THE NATURE

심미치료

오직 당신만을 위한 심미치료 내면의 아름다움 찾기 프로젝트

  • AESTHETIC TREATMENT

    앞니 레진

    적은 양만 삭제하여 자연 치아를 보존하고 견고한 디자인으로 내 치아처럼 자연스러운 아름다움을 완성합니다.

누가 치료하느냐에 따라서
결과가 달라집니다.

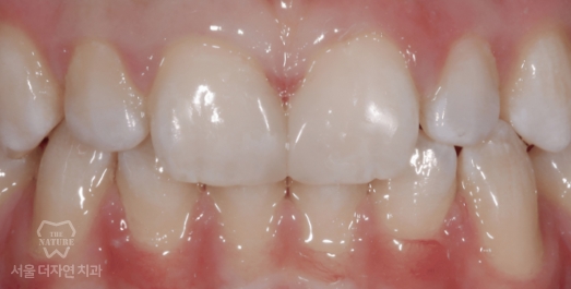
  • BEFORE: 2023.03.20

  • AFTER: 2023.03.20

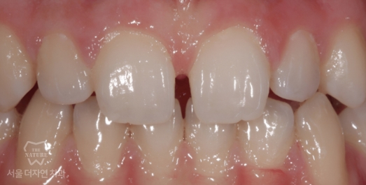
  • BEFORE: 2024.04.25

  • AFTER: 2024.04.25

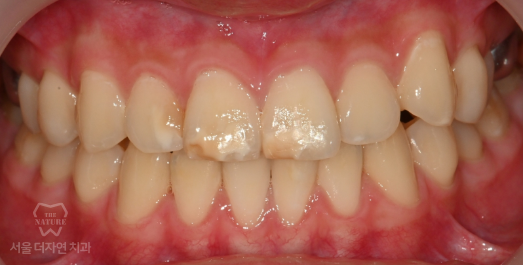
  • BEFORE: 2024.05.28

  • AFTER: 2024.05.28

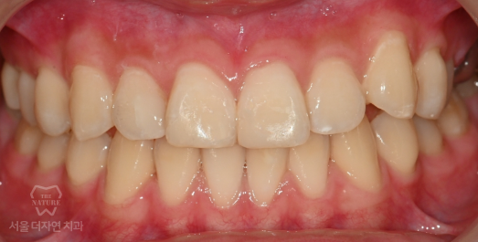
  • BEFORE: 2024.09.02

  • AFTER: 2024.09.02

자연치아를 보존하는
특별한 심미레진

정확한 진단과 의료진 노하우가 담긴
철저한 치료 계획
이 중요합니다.

  • 1회 내원으로 완성

    1회 내원으로 치료가 끝납니다.

  • 앞니를 자연스럽게

    주변 치아와 비슷한 색으로 맞추어 자연스러운 형태를 회복할 수 있습니다.

  • 적은 치아 삭제량

    다른 치료에 비해 건강한 치아를 깎아내는 양이 적습니다.

  • 저렴한 비용

    레진치료는 보철물을 제작하는 과정을 거치지 않기 때문에 비교적 경비가 저렴합니다.

상담/예약 문의

빠른상담신청