SEOUL THE NATURE

하루 완성 임플란트

  • 임플란트를 식립하고 동시에 보철물도 완성해드립니다.

    내원 당일 이루어지는 임플란트 기술력! 하루 완성 임플란트는 당일에 식립하고
    임시 보철물까지 완성됩니다.

ONE DAY IMPLANT

어떻게 당일 식립 & 보철물
가능한가요?

  • 3D 모의 수술로 최적 식립 위치 계산

  • 일상생활이 가능하도록 임시 보철물 완성

  • 회복이 빠른 최소 절개 식립

3차원 CT사진과 구강스캐너를 이용하여
미리 가상의 수술을 거쳐서 수술 위치를 정하고 수술 후 상부 위치까지 예측해서
미리 보철물을 만들어 두었다가 당일 수술 후 보철물을 붙이는
네비게이션 임플란트 방식입니다.

압도적인 시간 단축,
하루 완성 임플란트

분류

발치

임플란트 식립

골 유착 후
지대주 연결

보철물

기존 임플란트

약 1~3개월 소요

하루 완성 임플란트

당일 완료

(수술 즉시
보철물 완성)

하루 완성 임플란트 가능한 조건

  • 수술할 부위 치아 주변의 치주골 손상이 적은 경우

  • 발치하는 치아 뿌리 끝 주변의 잇몸뼈가 튼튼한 경우

  • 식립할 부위에 뼈의 양이 충분한 경우

  • 발치 및 식립 부위에 염증이 적거나 거의 없는 경우

하루 완성 임플란트는 환자분의 잇몸뼈 상태에 따라
수술 가능 여부가 결정됩니다.

하루완성 임플란트 과정

  • 01 3D 정밀 진단
    3D 정밀 진단

    환자 개개인에 맞춘
    맞춤형 치료 계획 수립

  • 02 구강 스캔 촬영
    구강 스캔 촬영

    디지털 구강 스캐너로
    정밀한 구강 데이터 획득

  • 03 수술 가이드 제작
    수술 가이드 제작

    3D 진단 데이터를 기반으로
    개인 맞춤 가이드 설계

  • 04 One-Day 임플란트 식립
    One-Day 임플란트 식립

    가이드를 활용한 정확하고
    안정적인 임플란트 식립

  • 05 즉시 임시 보철 제작
    즉시 임시 보철 제작

    전문 협력 기공소에서
    수술 당일 임시 보철물 제작

  • 06 기능·심미 회복 완료
    기능·심미 회복 완료

    보철물 장착으로
    씹는 기능과 심미성 회복

수술 전, 이미 치료는 시작됩니다

CT 정밀 분석 & 3차원 시뮬레이션

수술 당일을 위한 모든 준비를 수술 전에 미리 끝내는 단계입니다.

  • CT 촬영을 통한 잇몸뼈·신경 위치 정밀 분석

    CT 촬영을 통한
    잇몸뼈·신경 위치 정밀 분석

  • 3차원 분석을 통한 임플란트 식립 위치·각도·깊이 설정

    3차원 분석을 통한
    임플란트 식립 위치·각도·깊이 설정

  • 개인별 수술용 가이드 제작

    개인별 수술용 가이드 제작

  • 임플란트 기둥 및 보철물 사전 제작

    임플란트 기둥 및 보철물 사전 제작

수술 당일, 계획대로 정확하게

가이드 기반 임플란트 식립

불필요한 오차를 줄이고 당일 보철까지 연결되는 핵심 단계입니다.

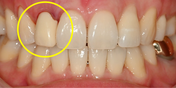
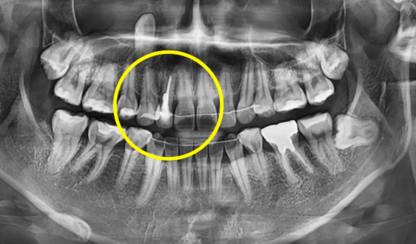
치료 전

치료 전

발치 후 수술용 가이드를 이용해 정해진 위치에 정확하게 식립 후 미리 만들어 둔 기둥 연결

발치 후 수술용 가이드를 이용해
정해진 위치에 정확하게 식립 후
미리 만들어 둔 기둥 연결

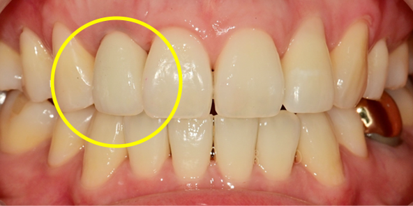
수술 당일 보철물 즉시 완성

수술 당일 보철물 즉시 완성

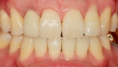
2개월 후 잇몸의 형태가 바뀌거나 필요 시 2차 보철물(최종보철물)로 교체

2개월 후 잇몸의 형태가 바뀌거나
필요 시 2차 보철물(최종보철물)로 교체

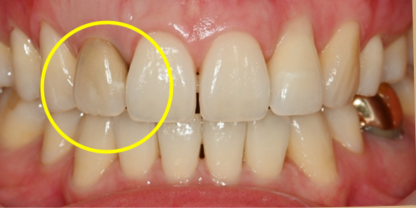
임플란트 최종 결과

BEFORE/AFTER
BEFORE
BEFORE
AFTER
AFTER

상담/예약 문의

빠른상담신청