SEOUL THE NATURE
증상별 치아교정
서울더자연치과를 만나면 이렇게 달라집니다.
저희의 실력을 결과로 보여드립니다.
덧니 교정 Solution
덧니는 치아가 올라올 공간이 부족하여
제자리에 올라오지 못하는 상태를 말합니다.
덧니를 오랫동안 방치할 경우 칫솔질이 제대로 되지 않아
치아 사이에 음식물이 잘 끼고, 충치가 생길 위험이 큽니다.
또한 치주 질환의 원인이 되므로
교정치료를 통해 개선하는 것이 바람직합니다.
-
BEFORE: 2020.06.11
-
-
AFTER: 2023.02.02
벌어진 치아교정 Solution
치아 벌어짐이 전체적으로 있는지 또는
부분(앞니 등)에만 있는지를 진단하고,
교정 장치를 부착하고 빈 공간으로
치아를 이동시켜 맞춰주는 방법으로 치료합니다.
-
BEFORE: 2020.11.12
-
-
AFTER: 2023.04.06
무턱 교정 Solution
위턱은 정상이나 아래턱이 작은 경우와
위턱은 앞으로 나오고
아래턱이 정상인 경우는
외모상으로는 거의 비슷해 보이기 때문에
정확한 진단과 치료 계획이 필수적입니다.
-
BEFORE: 2012.12.27
-
-
AFTER: 2016.04.09
비대칭 Solution
단순한 치아 교합이 문제인 경우에는
일반적인 치아교정만으로도 치료가 가능합니다.
뼈 자체의 문제가 아닌 근육의 문제일 경우
근육량을 조절하는 방법으로 치료합니다.
심할 경우에는 하악골 절제술,
악교정 수술로 치료해야 합니다.
-
BEFORE: 2012.10.12
-
-
AFTER: 2014.04.10
개방교합 Solution
구강 내 확대 장치를 통해
악궁을 확장시켜 치열에 공간을 만들고
상하악 견인 장치를 장착하여 위턱을 앞으로,
아래턱은 후방으로 이동시켜 치료합니다.
-
BEFORE: 2011.07.07
-
-
AFTER: 2013.01.18
과개교합 Solution
하악 전방 유도장치를 통해 턱 위치를 정상화하고
어금니 교합 면 위에 레진을 올려
좌우 교합평면의 균형을 맞춥니다.
이후 교정을 통해 치아의 배열을
가지런히 하고 교합을 맞춥니다.
-
BEFORE: 2020.05.28
-
-
AFTER: 2023.06.01
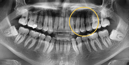
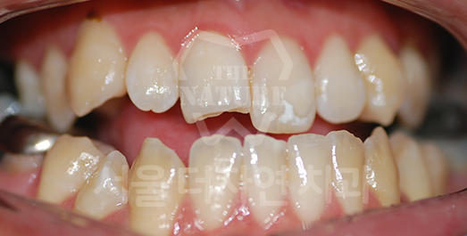
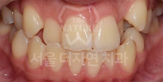
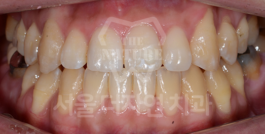
매복치 Solution
매복치는 잇몸 속에서 인접 치아에 손상을 줄 수 있어
치아 견인을 통해 제자리를 찾아주어야
정상적으로 치아가 자리잡을 수 있습니다.
-
BEFORE: 2011.08.12
-
-
AFTER: 2013.07.08
치근흡수, 잇몸퇴축 등 부작용이 발생할 수 있습니다.
본 사진은 동일 조건에서 촬영되었으며,
환자 본인의 동의를 얻어 게재되었습니다.
보건복지부 인증 전문의가
진료합니다.
서울더자연치과는 수준 높은 치료를 약속드립니다.