SEOUL THE NATURE

네비게이션 임플란트

치료 후를 미리 보는 디지털 기술력으로
가장 최적의 임플란트 식립 위치를 찾아드립니다.

  • 디지털 모의 수술을 통해 임플란트 식립결과를 미리 보다.

    임플란트 시술 과정에 디지털을 접목하여 식립 위치를 정확하게 파악 가능한 체계적인 디지털 임플란트 수술법입니다.

    DIGITAL IMPLANT

SEOUL THE NATURE

네비게이션 임플란트

우리에게 올바른 길을 알려주는 네비게이션처럼
디지털 기술을 통해 최적의 수술 경로를 알려주는
네비게이션 임플란트.
3D 모의 수술을 통해 식립 위치를 정확하게 파악하고
오차 없이 식립 가능한 체계적인 디지털 임플란트 입니다.

  • 일반 임플란트

    최적의 방향 식립에 어려움이 있음

  • 디지털 임플란트

    상대치아와 밸런스를 맞춰 장기적으로 임플란트 사용 가능

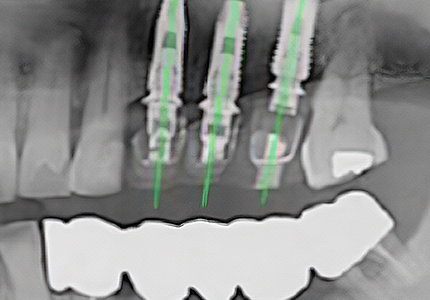
네비게이션 임플란트 과정

  • CT를 이용한 3D 진단

    CT 촬영한 3차원 데이터와 구강 모형을 통해 뼈, 잇몸, 신경을 통합적으로 고려하여 정밀 진단합니다.

  • 컴퓨터로 수술 계획 수립

    컴퓨터로 모의 수술을 통해 수술 위치를 설정하고, 그대로 수술될 수 있도록 맞춤형 가이드를 제작합니다.

  • 가이드 장착 후 수술

    제작된 가이드를 수술 전 구강에 장착 후 계획한 위치에 체계적인 수술로 오차 범위를 줄입니다.

모의수술로 계획한 위치에
내 치아 같은 보철물로 자연스럽게 임플란트
식립
이 가능합니다.

잇몸 절개 없이 임플란트가 들어갈 수 있는 정도의
작은 구멍을 내어 수술을 진행하며 통증이 적고 빠르게 회복할 수 있는
장점이 있습니다.

단, 0.01mm의 오차도
놓치지 않을게요.

  • 골조직, 신경 위치 자세히 분석 가능

  • 최적의 임플란트 위치 선정 가능

  • 빠르고 편리한 진료 과정

  • 출혈, 통증, 붓기가 적은 최소 절개 시술로 빠른 회복

  • 체계적인 디지털 임플란트

    서울더자연치과는 3D 디지털 장비를 활용하여 치아 뿌리 길이, 모양, 잇몸뼈의 두께와 밀도 등 환자의 구강 상태를 파악합니다. 환자에 맞는 맞춤 임플란트 식립을 계획해드립니다.

상담/예약 문의

빠른상담신청