SEOUL THE NATURE
잇몸성형술
-
잇몸이 치아를 가려 답답해 보일 때
앞니 라인을 되찾는 잇몸성형
아무리 치열이 가지런해도 웃을 때 잇몸이 훤히 드러나면 미소가 예쁘지 않게 느껴질 수 있습니다. 잇몸성형은 치은절제술이라 하며 앞니 길이의 대칭과 조화를 회복해 주는 시술입니다.
Gingivectomy
잇몸성형이란?
잇몸성형은 치은절제술(Gingivectomy, Gingivoplasty)이라 하며, 치아를 과도하게 덮고 있는잇몸을 정리하고 비대칭이거나 울퉁불퉁한 잇몸 라인을 다듬어 치아 길이와 잇몸의 균형을 맞춰 주는 잇몸 성형 시술입니다.

앞니 황금비율을 고려한 잇몸 디자인
“같은 치은절제술이라도 비율을 어떻게 설계하느냐에 따라 인상이 전혀 다르게 보일 수 있습니다.” 서울더자연치과는 다음 요소를 종합적으로 분석해 각자에게 어울리는 잇몸 라인을 설계합니다.

-
앞니 개별 치아의 가로·가로 비율
-
양쪽 앞니의 대칭과 조화
-
웃을 때 드러나는 입술 라인·웃음선
-
향후 교정·보철 치료 계획과의 연계성
잇몸성형, 이런 분들께 추천합니다.
‘단순히 잇몸을 잘라내는 것이 아니라 치아·잇몸·입술이 조화롭게 보이도록 디자인합니다.
-
웃을 때 잇몸이 많이 드러나는 거미 스마일이 고민될 때
-
앞니 길이가 제각각이어서 웃을 때 비대칭이 느껴질 때
-
교정·보철 치료 후에도 앞니 라인이 어딘가 어색하게 보일 때
Before & After
수술 직후 바로 일상생활이 가능한
서울더자연치과의 절개없는 임플란트
치료 전후를 직접 확인하세요
|
|
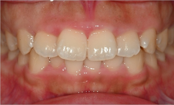
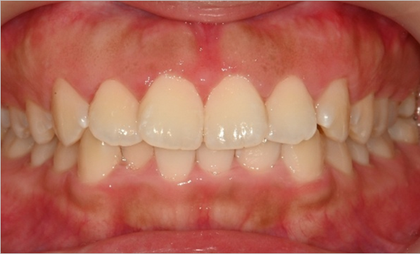
| 치료 전 | 치료 후 |
|
|
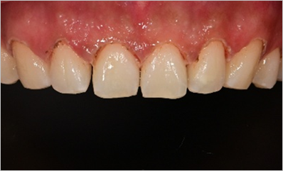
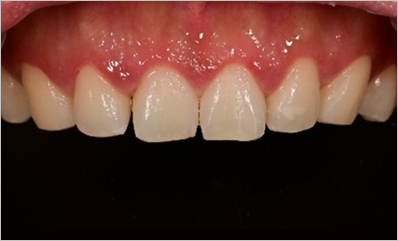
| 치료 전 | 잇몸성형+라미네이트 후 |
|
|
|
| 치료 전 | 치료 직후 | 치료 1주일 후 |
SEOUL THE NATURE
잇몸성형 후 주의사항
시술 후 초기 관리에 따라 회복 속도와 잇몸 라인이 달라질 수 있습니다.
아래 사항을 꼭 지켜주세요.
시술 후 2시간 뒤 식사 가능하며 뜨겁거나 딱딱한 음식은 며칠 피해주세요.
잇몸을 들춰보거나 손·혀로 만지며 확인하지 마세요.
침은 뱉지 말고 삼켜 출혈을 최소화해주세요.
칫솔질은 다음날부터, 치간칫솔·치실은 3일 후부터 부드럽게 사용해주세요.
일주일 동안 과격한 운동·사우나·음주·흡연은 삼가주세요.
보건복지부 인증 전문의가
진료합니다.
서울더자연치과는 수준 높은 치료를 약속드립니다.