더자연치과만의
절개없는 임플란트

바로 일상생활이 가능한 편안하고
통증이 적은 절개없는 임플란트

REC

비절개 임플란트에 대해 김민수 원장님이 영상으로 직접 설명해드립니다.

수술 후 바로 일상 생활이 가능한
절개없는 임플란트

절개없는 임플란트란?

기존의 수술 방식과는 달리 잇몸을 절개하지 않고
잇몸에 2mm 내외의 작은 구멍을 뚫어 임플란트를
식립하는
보존적인 수술 방식으로 수술 후 통증이 적고
출혈이 거의 없어
바로 일상생활이 가능하고 따로
실밥을 풀지 않기 때문에
내원 횟수가 줄어드는
장점이 있습니다.

절개없는 임플란트의
장점

  • 출혈 / 통증 거의 없음

    잇몸을 절개하지 않기 때문에
    출혈, 붓기 통증이 거의 없습니다

  • 바로 일상생활 가능

    통증과 붓기가 적기 때문에
    수술 직후 바로
    일상생활이 가능합니다

  • 적은 내원횟수

    실밥을 풀기위해 내원하지 않아도
    되기 때문에
    일반 임플란트보다
    내원횟수가 적습니다

  • 감염 위험 감소

    절개하지 않아 혈관이 노출되는
    부위가 적어
    감염으로 인한
    위험이 매우 낮습니다

절개없는 임플란트 vs 일반 임플란트

일반 임플란트 절개없는 임플란트
임플란트 식립을 위해
잇몸을 절개하는 방식
잇몸을 절개하지 않고 임플란트를 식립할
위치에 최소한의 공간을 뚫어 임플란트를 식립
출혈과 붓기를 동반 ㅣ 긴 회복기간
염증및 감염 위험 높음 ㅣ 진료 및 관리기간이 김
붓기와 출혈 거의 없음ㅣ염증 및 감염위험 낮음
빠른 회복 ㅣ 수술 당일 일상생활 가능 ㅣ
잇몸라인 손상이 없어 심미적
일반 임플란트
임플란트 식립을 위해
잇몸을 절개하는 방식
출혈과 붓기를 동반 ㅣ 긴 회복기간
염증및 감염 위험 높음 ㅣ 진료 및 관리기간이 김
절개없는 임플란트
잇몸을 절개하지 않고 임플란트를 식립할
위치에 최소한의 공간을 뚫어 임플란트를 식립
붓기와 출혈 거의 없음ㅣ염증 및 감염위험 낮음
빠른 회복 ㅣ 수술 당일 일상생활 가능 ㅣ
잇몸라인 손상이 없어 심미적

절개없는 임플란트,
의료진의 경험이 중요합니다

절개없는 임플란트의 경우 잇몸에 작은 구멍만을
이용해서 수술을 진행하기 때문에
시술자의 충분한 경험과 전문성이 필요합니다.

절개없는
다수의 임플란트 진행 (2024년 6월 기준)
임플란트 수술 중 95% 이상 절개없는 임플란트

  • 오스템 임플란트
    다수 식립 인증패 수상

  • 오스템임플란트 연구자문치과

  • 디오임플란트
    우수 임플란트 시술병원

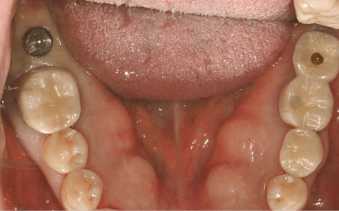
Before & After

수술 직후 바로 일상생활이 가능한
서울더자연치과의 절개없는 임플란트
치료 전후를 직접 확인하세요

Case 01
임플란트 식립 전 절개없는 임플란트 식립 직후

촬영시기 : 2024.12.05

Case 02
임플란트 식립 전 절개없는 임플란트 식립 직후

촬영시기 : 2024.06.19

모든 치료사례 전후사진은 환자분의 동의하에
촬영되었습니다.
모든사진은 동일 환자분의
전후모습을 촬영하였으며,
사진의 밝기조절 외에
임의 수정이 없음을 알려드립니다.
모든 치료는 부작용의 우려가 있기때문에
의사와의 충분한 상담후에 치료가 진행됩니다.

상담/예약 문의

빠른상담신청