SEOUL THE NATURE
급속 앞니 교정
어금니는 건드리지 않고 앞니만으로 빠르고 반듯한 교정이 가능합니다.
-
부정교합을 치료하는
급속 앞니 교정 3개월만에 획기적인
변화를 보여드립니다.
급속 앞니 교정 종류
-
2D 교정
-
MTA 교정
-
클리피씨 교정
-
투명 교정
빠르게 예뻐지는 노하우 심미적으로 빠른 변신이 가능합니다.
앞니 부분 교정은 삐뚤어진 앞니에 부분적으로
장치를 부착하여 심미적으로 빠른 변신이 가능합니다.
필요한 부분만 빠르게 개선할 수 있어
많은 분들이 선호하는 효율적인 교정방식입니다.
-
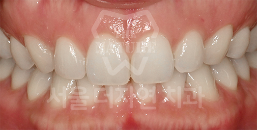
BEFORE: 2021.05.24
-
-
BEFORE: 2023.04.27
보건복지부 인증 전문의가
진료합니다.
서울더자연치과는 수준 높은 치료를 약속드립니다.