SEOUL THE NATURE

고난이도 케이스도
자신 있습니다.

처음이 아니기에 더욱 신중한 고민,
환자의 입장에서 서울더자연치과가 대신 고민하겠습니다.

  • 임플란트 개수가 많아도 고난이도 재수술 케이스여도 가능합니다.

    HIGH LEVEL TECHNIC

전체 임플란트

전체적으로 치아를 회복하기 위한 임플란트

치아의 기능을 다시 회복하기 위해
선택하는 임플란트입니다. 상실한 치아를 오랫동안 방치한 경우
상, 하악 잇몸뼈의 양도 부족한 경우가 많기 때문에 개개인의 건강 상태를 고려하여
정확한 수술 계획을 세워야 합니다.

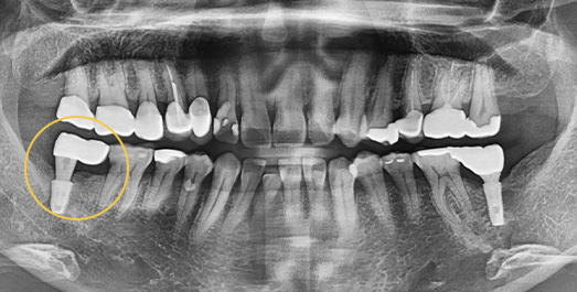
  • BEFORE: 2022.12.15

  • AFTER: 2023.02.23

  • BEFORE: 2022.12.15

  • AFTER: 2023.02.23

  • BEFORE: 2022.12.15

  • AFTER: 2023.02.23

상악동 거상술

잇몸뼈가 없어도 만들어서 식립해드립니다.

상악동은 윗잇몸뼈 위쪽의
코 양옆으로 뻥 뚫려 있는 공간이며, 얇은 막으로 덮여 있습니다.
위쪽 어금니 임플란트를 심을 때 이 부근의 잇몸뼈가 부족하면
임플란트가 상악동을 뚫고 들어갈 수 있습니다. 이를 방지하기 위해 상악동의 얇은 막을 들어 올리고 그 안에 잇몸뼈를 적당히 채워 주는
수술 방법이 상악동 거상술입니다.

  • BEFORE: 2021.02.01

  • AFTER: 2021.05.13

임플란트 재수술

처음보다 더 어렵고 까다로운
재수술 임플란트

잘못된 임플란트 수술과 잘못된 임플란트 관리는 부작용이 발생시킬 수 있으며, 통증을 동반하게 됩니다. 임플란트 재수술은 기존 임플란트를 제거 후
새롭게 잇몸뼈를 만들고 알맞은 잇몸 형태를 잡아내어
새 임플란트를 식립하는 시술입니다.

재수술이 필요한 대상
  • 임플란트 주위염으로 인해 잇몸뼈가 녹은 경우

  • 임플란트를 제대로 식립하지 못한 경우

  • 오래된 임플란트가 흔들리는 경우

  • 임플란트가 서로 너무 가깝게 심어져 염증이 생긴 경우

  • BEFORE: 2021.11.02

  • AFTER: 2022.01.19

타 치과에서 식립한 임플란트가 너무 멀리 잘못 심겨져 있어
올바른 위치로 재수술한 케이스입니다.

상담/예약 문의

빠른상담신청