SEOUL THE NATURE

사랑니 발치

골치 아픈 사랑니, 치과를 헤매고 계신가요?
명일에서 대학병원 수준의 사랑니 발치 진료를 보여드리겠습니다.

  • WISDOM TOOTH

    사랑니 발치해야 할까요?

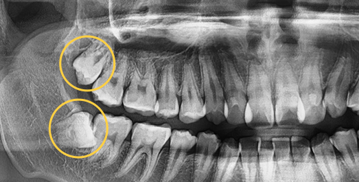
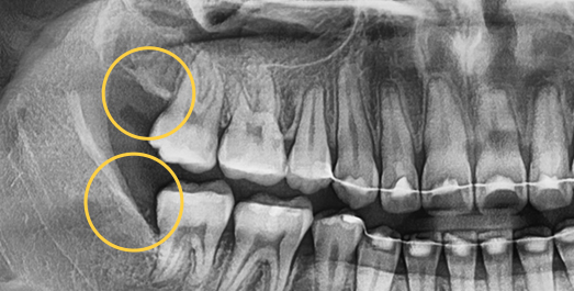
    사랑니는 똑바로 나는 경우도 있지만 비스듬하거나 수평으로 나기도 하고 치아 전체가 매몰된 채로 있기도 합니다. 제대로 나지 않은 사랑니는 치열을 뒤틀리게 하고, 칫솔질이 쉽지 않아 주변 어금니를 썩게 만들기 때문에 발치하는 것이 좋습니다.

까다로운 사랑니 유형, 서울더자연치과는
포기하지 않습니다.

  • 수평으로
    숨어있는 사랑니

  • 각도를 가지고
    숨어있는 사랑니

  • 수직으로
    숨어있는 사랑니

서울더자연치과의
사랑니 발치 노하우

  • 01

    POINT

    치과전문의의 사랑니 발치

    보건복지부에서 인정한 전문의가 신경선을 고려하여 까다로운 케이스도 깔끔하게 발치해드립니다.

  • 02

    POINT

    신경선까지 고려한 발치 기술

    3D CT를 통해 사랑니의 형태, 뿌리와 주변 신경까지 파악하여 안전성 높은 발치를 도와드립니다.

03

POINT

아프지 않도록,
통증 완화 솔루션 진행

서울더자연치과는 단계별 통증 완화 솔루션을 통해
마취를 진행하며, 통증을 최소화하는 마취기를 도입하여 마취 통증까지 줄여드립니다.

  • 스케일링 전 가글 마취

  • 잇몸치료 전 도포 마취

  • 마취 통증도 NO! 통증 최소화 마취

  • 체온과 비슷한 온도의 따뜻한 마취액 사용

04

POINT

고난이도 케이스도
발치 가능합니다.

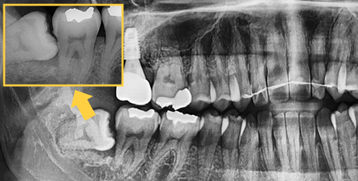
수많은 고난이도 케이스와 다양한 사랑니 발치 경험을 보유하여 더 이상 대학병원으로 가지 않아도 됩니다.

  • BEFORE
  • AFTER

치료기간 : 2024.09.04

치료기간 : 2023.12.22

치료기간 : 2024.05.28

05

POINT

사랑니 발치 후 주의사항

사랑니 치료 주의사항을 잘 인지하시고
환자분의 협조가 필요합니다!

치아를 뽑은 후 목욕(샤워는 가능), 음주, 과격한 운동은 피해야 합니다.

손가락이나 혀로 뺀 자리는 만지지 않도록 합니다. 입에 문 솜을 2시간 정도 꽉 물고 있고 침과 피는 삼킵니다.

출혈이 멈추지 않거나 때때로 출혈이 있을 때는 청결한 거즈나 솜을 단단히 뭉친 후 깨끗한 물에 적셔 20~30분 정도 더 물고 있습니다.

퐁퐁 솟아나는 느낌의 출혈이 아니라 슬며시 배어 나오는 정도는 발치 후 하루 이틀 정도는 보통 있을 수 있습니다.

마취를 하였기 때문에 2~3시간 정도는 입술과 혀가 마비되어 있습니다.

발치 후 하루 정도는 부드러운 음식 위주로 이를 뺀 반대편으로 식사합니다. 지나치게 거칠거나 자극적은 음식은 피하도록 합니다.

하루 정도는 가능한 안정을 취해 충분히 쉬도록 하고 1~2일은 냉찜질을 해 줍니다.

이후에 붓기가 점차 심해지는 경우엔 병원을 다시 찾아 소독치료 및 약물치료를 받도록 하고 온찜질을 시작합니다.

상담/예약 문의

빠른상담신청